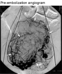
The blood shows up as black in these pictures. In this example both uterine arteries (there is one on each side) are being injected. The white arrows are pointing to the fibroids.

Notice how much less blood flow is present after the embolization. The black arrows are pointing to the blocked ends of the uterine arteries. The fibroids no longer get any blood.
